
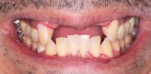
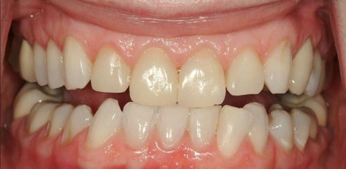
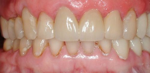
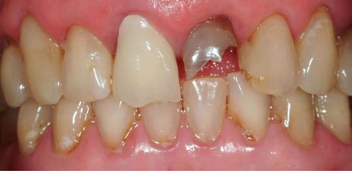
Before & Afters
Real Patient Transformations
Real Patient Transformations
Changing Lives, One Smile At A Time
At Drew Dentistry, cosmetic and restorative care are two of our biggest areas of focus. From reshaping a single tooth to restoring multiple damaged teeth, we’re here to help. Dr. Drew can restore your smile, your bite, and your self-confidence. Take a look at our before & afters now and see how we’ve helped past patients transform their smiles!


















.png)